Understanding Gingival Hyperplasia: Causes, Symptoms, and Advanced Treatment Options for Gum Overgrowth

Gingival Hyperplasia

Gingival hyperplasia, also known as gingival enlargement or gum overgrowth, is a condition characterized by abnormal growth of gum tissue that can affect your smile, oral health, and overall quality of life. This enlargement of the gingival tissue occurs when gum cells multiply excessively, leading to swollen, inflamed gums that may partially or completely cover the teeth. Understanding gingival overgrowth is essential for maintaining optimal oral hygiene and preventing complications such as periodontal disease, difficulty eating, and aesthetic concerns. At Laser Smile Solutions, we specialize in treating this condition using advanced laser technology to restore your healthy, beautiful smile across NYC, NJ, Long Island, and Westchester.

What Is Gingival Hyperplasia?

Gingival hyperplasia refers to the overgrowth of gingival tissue that results in enlarged gums. This condition differs from normal gum inflammation because it involves an actual increase in the number of cells within the gingiva, rather than just swelling from fluid accumulation. The term gingival enlargement is often used interchangeably with gingival hypertrophy, though technically, hyperplasia refers to an increase in cell number while hypertrophy indicates enlarged cell size.

The severity of gingival overgrowth can range from mild thickening along the gum line to extensive enlargement that may completely cover the teeth. When gum tissue grows excessively, it creates deep pockets between the teeth and gums where plaque and bacteria accumulate, making proper oral hygiene challenging. This enlarged gingival tissue can interfere with speaking, chewing, and maintaining adequate dental care, potentially leading to secondary complications like gingivitis or more serious periodontal conditions.

What Are the Common Causes of Gingival Hyperplasia?

Several causes of gingival hyperplasia have been identified, ranging from medication side effects to genetic factors. Understanding these causes is crucial for developing an effective treatment plan. Drug-induced gingival overgrowth is among the most common causes, with certain medications triggering excessive gum growth in susceptible individuals.

Medications are among the drugs that are the most common culprits behind gingival enlargement. Phenytoin, an anticonvulsant used to control seizures, is notorious for causing phenytoin-induced gingival overgrowth, with studies showing that 30-50% of patients taking this medication may develop gingival hyperplasia. Calcium channel blockers, particularly amlodipine and nifedipine, prescribed for hypertension and heart conditions, can also induce gingival overgrowth. Nifedipine-induced gingival enlargement has been documented in numerous patients requiring blood pressure management. Immunosuppressant medications like cyclosporine, commonly used in organ transplant patients, frequently cause cyclosporine-induced gingival overgrowth.

Beyond medications, poor oral hygiene serves as a significant contributing factor. When plaque accumulates along the gum line due to inadequate brushing and failure to floss regularly, chronic inflammation develops, potentially triggering gingival enlargement. Hormonal changes during pregnancy, puberty, or from hormone therapy may also make gum tissue more sensitive and prone to overgrowth. Hereditary gingival fibromatosis, though rare, is a genetic condition in which individuals develop gingival overgrowth from an early age without any apparent external trigger. Additionally, certain systemic diseases and blood disorders, including leukemia, have been associated with gingival hyperplasia.

How Does Drug-Induced Gingival Hyperplasia Develop?

Drug-induced gingival hyperplasia occurs when certain medications interact with gingival fibroblasts, the cells that produce connective tissue in the gums. These medications appear to affect how these cells produce and break down collagen, leading to an accumulation of gum tissue. The exact mechanism behind drug-induced gingival enlargement remains partially understood, but research suggests that these drugs may reduce the natural degradation of gingival tissue while simultaneously promoting excessive tissue production.

The risk of developing gingival enlargement varies significantly among individuals taking these medications. Not everyone on phenytoin, calcium channel blockers, or immunosuppressants will develop gingival overgrowth, suggesting that genetic factors, oral hygiene practices, and inflammation levels play important roles. Studies indicate that the incidence of gingival overgrowth ranges from 10% to 50%, depending on the specific medication, dosage, and treatment duration.

Inflammation appears to be a critical cofactor in drug-induced gingival overgrowth. Patients who maintain excellent oral hygiene and minimal plaque accumulation tend to experience less severe gingival overgrowth compared to those with existing gingivitis or periodontal disease. This connection explains why dental professionals emphasize rigorous oral health maintenance for patients taking medications known to cause gingival enlargement. The severity of gingival hyperplasia often correlates with plaque levels, suggesting that bacterial inflammation may amplify the drug’s effects on the gingival tissue.

What Are the Signs and Symptoms of Gum Overgrowth?

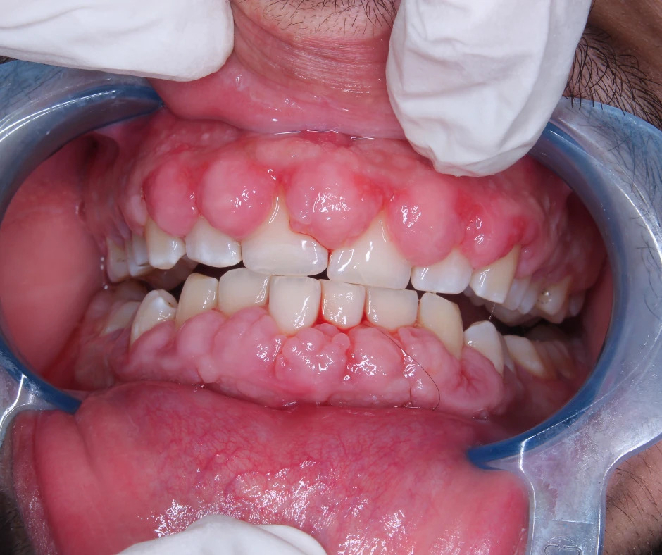
Recognizing gingival hyperplasia early allows for prompt intervention and better outcomes. The condition typically begins with subtle thickening of the gum tissue, particularly in the areas between teeth called the interdental papillae. As the enlargement progresses, the gingiva becomes increasingly swollen, firm, and may develop a nodular appearance with a stippled or smooth surface texture.

Patients with gingival overgrowth often notice that their gums appear larger than normal, sometimes covering portions of the tooth crowns. The enlarged gum tissue may feel firm rather than soft, distinguishing gingival hyperplasia from simple inflammatory swelling. Bleeding, especially during brushing or flossing, is common with this condition, as the deep pockets created by overgrown tissue harbor bacteria that cause gingival inflammation. Some patients experience discomfort or sensitivity around the affected areas, though gingival enlargement itself is not typically painful unless infection develops.

In more severe cases, gingival overgrowth can significantly impact daily life. Excessive enlargement may interfere with proper tooth alignment, speech articulation, and the ability to chew food comfortably. When gum tissue grows substantially, it can create aesthetic concerns that affect confidence and social interactions. The deep pockets formed by enlarged gingiva make maintaining oral hygiene extremely challenging, as conventional brushing and flossing cannot adequately reach these areas to remove plaque, creating a cycle where poor oral hygiene worsens the condition.

How Is Gingival Enlargement Diagnosed?

Diagnosing gingival hyperplasia requires a comprehensive dental examination by an experienced periodontist or dentist. During your evaluation at Laser Smile Solutions, our specialists will carefully assess your gum tissue, measuring the depth of periodontal pockets and examining the texture, color, and extent of the enlargement. A thorough medical history review is essential to identify potential causes, particularly any medications associated with gingival overgrowth.

Clinical examination focuses on distinguishing gingival hyperplasia from other conditions that cause gum enlargement. Inflammatory gingival enlargement due to gingivitis or periodontal disease appears red, soft, and bleeds easily, whereas drug-induced or hereditary gingival fibromatosis typically presents with firmer, more fibrous tissue that may be pink or pale. The distribution pattern also provides diagnostic clues—drug-induced gingival enlargement often affects the front teeth most prominently, while hereditary fibromatosis tends to involve the entire gingiva uniformly.

In some cases, a biopsy of the gingival tissue may be necessary to rule out serious underlying conditions and confirm the diagnosis. This is particularly important when the cause of your gingival enlargement is unclear or when systemic diseases like leukemia need to be excluded. Dental radiographs help assess whether the underlying bone has been affected by periodontal disease, which commonly accompanies chronic gingival overgrowth. Blood tests may be ordered if systemic causes are suspected, ensuring a comprehensive diagnostic approach.

Can Gingival Hyperplasia Be Prevented?

Prevention strategies depend largely on identifying and addressing the possible causes of gingival enlargement before significant overgrowth develops. For patients taking medications known to induce gingival overgrowth, prevention focuses on meticulous oral hygiene and regular dental monitoring. Maintaining excellent plaque control through proper brushing technique, daily flossing, and professional dental cleanings can significantly reduce the risk of developing gingival hyperplasia or minimize its severity.

If you’re prescribed phenytoin, calcium channel blockers, or immunosuppressant medications, discuss the risk of developing gingival enlargement with both your physician and dentist. In some cases, alternative medications with lower rates of gingival side effects may be available. However, never discontinue or change prescribed medications without consulting your healthcare provider, as the underlying medical condition being treated takes priority. Your dentist can implement more frequent cleaning schedules and provide specific oral hygiene instructions to help manage the incidence of gingival overgrowth.

For hereditary forms of gingival fibromatosis, complete prevention may not be possible due to the genetic nature of the condition. However, maintaining optimal oral health can help manage symptoms and reduce complications. Regular dental visits allow for early detection of gingival changes, enabling intervention before the enlargement becomes severe. Teaching proper oral hygiene techniques, especially to children with hereditary predisposition, establishes lifelong habits that can help control the progression of gum overgrowth.

What Treatment Options Are Available for Gingival Overgrowth?

Treatment for gingival hyperplasia must address both the underlying cause and the physical enlargement itself. The treatment depends on the specific type of gingival enlargement, its severity, and contributing factors. A comprehensive approach combining professional dental treatment with patient self-care yields the best outcomes for managing gingival overgrowth.

Non-surgical treatment forms the foundation of managing gingival hyperplasia. Improving oral hygiene through professional instruction and regular dental cleanings helps reduce plaque accumulation and inflammation that contribute to gingival overgrowth. Scaling and root planing, a deep cleaning procedure, removes plaque and calculus from below the gum line, reducing inflammation and potentially causing some regression of less severe gingival overgrowth. For drug-induced cases, working with your physician to adjust or substitute the offending medication may help reverse gingival hyperplasia, though this isn’t always medically feasible.

When conservative measures prove insufficient, surgical treatment becomes necessary to remove excess gum tissue and restore function and aesthetics. Gingivectomy, the surgical removal of overgrown gingival tissue, has traditionally been performed using scalpels. However, at Laser Smile Solutions, we utilize advanced laser technology that offers significant advantages over conventional surgical approaches. Laser gingivectomy provides precise tissue removal with minimal bleeding, reduced discomfort, faster healing, and excellent aesthetic results. The laser simultaneously cuts and cauterizes tissue, minimizing gingival bleeding and reducing the risk of infection.

Following surgical treatment, maintaining excellent oral hygiene and addressing underlying causes prevents recurrence of gingival enlargement. Patients who continue taking medications that cause gingival overgrowth may experience some regrowth, necessitating ongoing dental care and possibly periodic maintenance procedures. Regular follow-up appointments allow your dentist to monitor for early signs of recurrence and intervene promptly if needed. The management of drug-induced gingival overgrowth requires a collaborative approach between your dentist, periodontist, and physician to balance medical needs with oral health concerns.

How Does Gingival Hyperplasia Relate to Cancer?

While gingival hyperplasia itself is not cancerous, certain blood cancers can present with gingival enlargement, making proper diagnosis crucial. Leukemia, particularly acute myeloid leukemia, may cause gingival overgrowth by infiltrating leukemic cells into the gum tissue. This type of gingival enlargement associated with leukemia typically appears as swollen, boggy gums that bleed easily and may be accompanied by other symptoms like unexplained fatigue, fever, easy bruising, and recurrent infections. The gingival tissue in leukemia patients may have a distinctive purple or bluish discoloration due to vascular changes.

Other cancers that may manifest with oral symptoms include lymphomas, which can occasionally involve the oral cavity and present with tissue enlargement. Multiple myeloma, while primarily a bone marrow cancer, may indirectly affect oral health by compromising the immune system and making patients more susceptible to infections that could cause gingival inflammation. Oral squamous cell carcinoma, the most common oral cancer, typically presents as ulcers, white or red patches, or masses rather than generalized gingival enlargement, though it can occasionally involve the gingiva.

It’s important to understand that gingival hyperplasia associated with cancer has distinct characteristics that differentiate it from drug-induced or inflammatory causes. When cancer-related, the gingival enlargement often progresses rapidly, may be asymmetric, and is accompanied by systemic symptoms. This is why a thorough diagnostic evaluation, sometimes including biopsy, is essential when the cause of gingival overgrowth is unclear or when the presentation is atypical. Early detection of underlying malignancies significantly improves treatment outcomes, underscoring the importance of regular dental examinations that can identify suspicious gingival changes.

Why Choose Laser Smile Solutions for Gingival Hyperplasia Treatment?

At Laser Smile Solutions, we understand that gingival enlargement affects not just your oral health but your confidence and quality of life. Our team specializes in treating gum overgrowth with state-of-the-art laser technology, delivering superior results with enhanced comfort and faster recovery times. Serving patients across NYC, NJ, Long Island, and Westchester, we’ve helped countless individuals overcome the challenges of gingival hyperplasia and achieve healthy, beautiful smiles.

Our advanced laser procedures for gingival hyperplasia treatment offer numerous advantages over traditional surgical methods. The precision of laser technology allows us to remove excess gum tissue while preserving healthy structures, minimizing trauma, and promoting optimal healing. Patients typically experience less discomfort during and after the procedure, reduced bleeding, and faster return to normal activities. The laser’s antibacterial properties also decrease infection risk, contributing to better long-term outcomes.

Beyond technical excellence, we prioritize comprehensive care that addresses all aspects of your condition. We work closely with your medical team when medications are implicated in your gingival overgrowth, ensuring coordinated care that protects both your oral and overall health. Our personalized treatment plans consider your unique circumstances, preferences, and goals, providing solutions tailored to your specific needs. Whether your gingival hyperplasia stems from medication, hereditary factors, or other causes, we have the expertise and technology to help you achieve lasting results.

Don’t let gingival enlargement compromise your smile or oral health any longer. Contact Laser Smile Solutions today to schedule your free consultation and discover how our advanced laser treatments can transform your gum health. Call us at (877) 440-3564 to speak with our caring team and take the first step toward reclaiming your confident, healthy smile.

Book your free consultation at one of our four convenient locations in New York, New Jersey, Long Island & Westchester.