Pericoronitis is a common dental condition that occurs around partially erupted wisdom teeth, causing swelling, pain, and discomfort. Understanding the symptoms of pericoronitis, its causes, and available treatment for pericoronitis is essential for maintaining oral hygiene and preventing complications. At Laser Smile Solutions, we offer professional dental care and timely treatment to alleviate pain and maintain your oral health.
What is Pericoronitis?
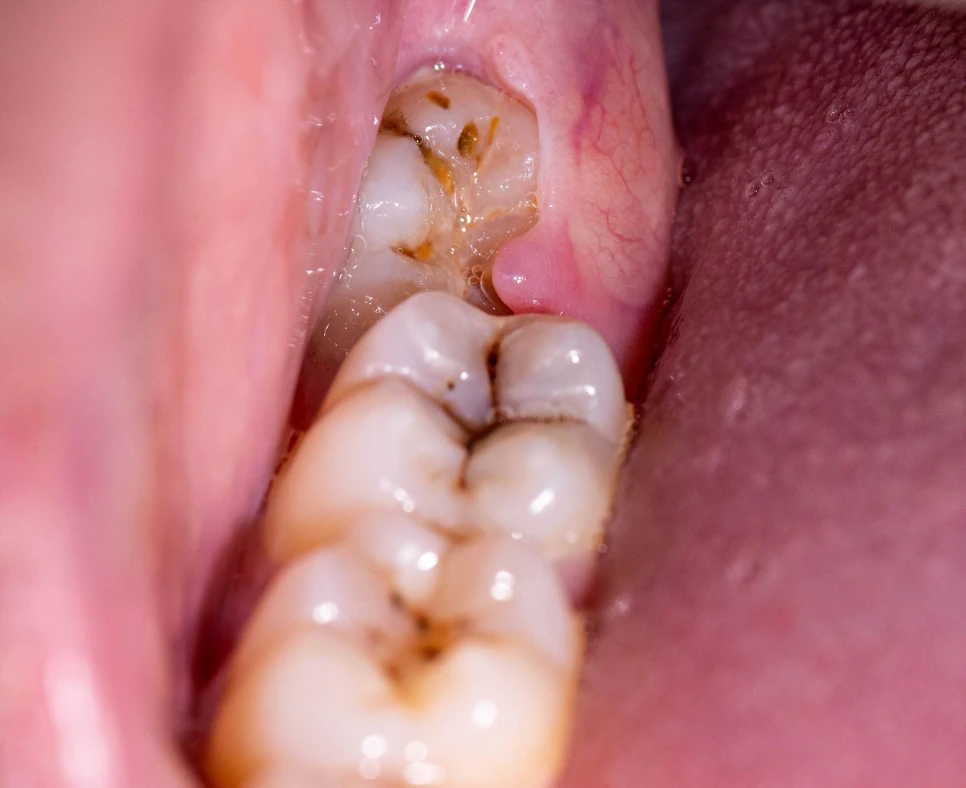
Pericoronitis is characterized by swelling and inflammation of the gum tissue covering a partially erupted tooth, typically a lower wisdom tooth. This common dental condition can cause discomfort, pain, and difficulty opening the mouth. Pericoronitis may also lead to an abscess or infection if left untreated. Acute pericoronitis typically develops rapidly, whereas chronic pericoronitis can persist with recurring episodes. Examining your wisdom teeth regularly and maintaining good oral hygiene can help detect early-stage pericoronitis before it develops into severe symptoms.

What Are the Symptoms of Pericoronitis?
Symptoms of pericoronitis can range from mild irritation to severe pain and swelling. They often include:
- Pain and swelling around your wisdom teeth or the flap of gum tissue
- Difficulty chewing or opening your mouth
- Red, tender gum tissue near the affected tooth
- Bad breath or halitosis due to bacterial accumulation
- Swollen lymph nodes in more severe cases
Patients may also notice food particles trapped under the flap, which can contribute to infection. Recognizing the early signs of pericoronitis allows for timely treatment and prevents complications, such as abscess formation.
What Causes Pericoronitis and What Are the Risk Factors?
Pericoronitis occurs when bacteria and food particles accumulate under the flap of gum tissue covering a partially erupted molar, particularly wisdom teeth. Common causes include:
- Partially erupted teeth that create pockets for bacteria
- Poor oral hygiene or irregular dental visits
- Impacted wisdom teeth or upper teeth biting the flap of gum tissue
- Infection from bacteria or oral debris
Risk factors for pericoronitis include late teens or early adulthood, inadequate oral care, and a history of pericoronitis episodes. Chronic pericoronitis may develop if the condition recurs frequently without treatment.
How Is Pericoronitis Diagnosed?
A dentist can diagnose pericoronitis during a dental examination. Diagnosis includes assessing:
- Swollen or inflamed gum tissue near partially erupted teeth
- Presence of abscess or pus
- Pain and tenderness around the affected tooth
- Impacted or partially erupted wisdom teeth
Dental x-rays may be used to evaluate the position of wisdom teeth and rule out other causes. A proper diagnosis of pericoronitis ensures effective treatment planning to relieve symptoms and prevent complications.

What Are the Treatment Options for Pericoronitis?
Treatment for pericoronitis focuses on reducing infection and inflammation and may include:
- Professional dental cleaning to remove food particles and bacteria
- Course of oral antibiotics for infection control
- Removal of the flap of gum tissue or tooth extraction if necessary
- Pain management with over-the-counter medications
A dentist may recommend early intervention to prevent the infection from spreading and to address chronic or recurring pericoronitis. Timely treatment protects oral health and reduces the risk of abscess formation.
Can Pericoronitis Be Managed with Home Remedies?
Mild pericoronitis symptoms may be temporarily relieved with home remedies, but professional care is usually required. Home remedies include:
- Warm saltwater rinses to reduce swelling
- Maintaining good oral hygiene with gentle brushing around the affected tooth
- Using antiseptic mouthwash as recommended
While these methods can help manage discomfort, they do not replace the treatment of pericoronitis provided by a dentist. Delaying professional care may allow the infection to worsen or become chronic.
How Can You Prevent Pericoronitis?
Prevent pericoronitis by maintaining consistent dental care and addressing risk factors early:
- Regular dental visits and cleanings to monitor wisdom teeth
- Proper oral hygiene, including brushing and flossing around partially erupted teeth
- Removal of impacted wisdom teeth if recommended by a dentist
- Avoiding food accumulation under the gum flap through rinsing after meals
Prevention of pericoronitis is crucial in reducing the risk of pain, infection, and complications associated with partially erupted molars. Patients in NYC, NJ, Long Island, and Westchester experiencing pericoronitis or concerned about symptoms are encouraged to schedule a free consultation at Laser Smile Solutions or call (877) 440-3564 for a professional evaluation and treatment.